Featured image of post Lobar Collapse Radiology

Lobar Collapse Radiology

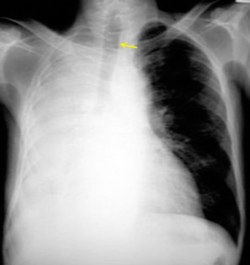
Jeff alpert reviews the findings of lobar collapse and atelectasis, as seen on chest radiography.

Lobar Collapse Radiology - He reviews how to localize regions of collapse.

Built with Hugo Cuy
Theme Reang Cuy v.%!(EXTRA string=2.0.1) designed by Ngopi24Jam.cuy